ブログ
ブログ
矯正始めました!🦷✨
2021年5月22日
こんにちは!福岡市南区 長丘 まんだい千恵歯科 受付の糸賀です☺️
梅雨入りもして蒸し暑さも出てきましたね💦 雨も降ったり止んだりの繰り返しで折り畳み傘を鞄に常備する時期にもなりました🥲🌂
そして3回目の緊急事態宣言が出て、かなり警戒しながら過ごされてる方も多いかと思います💦
私も趣味のひとつである旅行にも行けず、GW中はずっと家にこもっていました…😂
写真の整理をしていたら去年か一昨年の一人ぶらり旅をした時の写真が出てきました☺️
季節の中でも秋が一番好きなので、今回は紅葉シーズンに大宰府に行った時の写真です🍁
愛犬バニラ🐶🐾
2021年5月17日
こんにちは!福岡市南区 長丘 まんだい千恵歯科 歯科衛生士の吉瀬です。
福岡も、もうすぐ梅雨入りみたいですね☔
6月が梅雨のイメージですが5月にもあるんですね😳
雨が多くなりますがご来院される方は足元に気をつけてお越しください🦷✨
今日は何度かブログでも登場している愛犬バニラのお話です🤣🤣💓
うちの犬は雷が大の苦手で、雷だけでなく大きな物音が苦手です😅
雷がなった時には身体中ブルブル震わせて、このまま心臓発作起こして死んでしまわないかとヒヤヒヤしています🥲
コロナが流行り始めてから出かける回数が減り
いつも以上にバニラと遊ぶ時間が増えました😌💓
もう11歳?になってきて段々と階段が降りれない日があったり、足を痛めたり、おじいちゃん犬になってきたなーと思う日々です👼🏻
でも体調が悪く元気がない日でも家族のお迎えは欠かさず玄関で盛大にしてくれます🥲❤
犬コロナウイルスなどもあると聞いたので
人間も動物も感染にはきをつけましょう😤🔥
(庭でいつも遊んでいる犬(バニラ)です)🐶
当院では引き続き、コロナウイルス感染対策に伴い患者様に来院時の検温や手の消毒、うがい薬を使用した漱などのご協力を頂いております。院内感染対策に今まで以上に努めておりますのでご不便をおかけしますが、引き続きご協力よろしくお願いします✨
〒815−0075 福岡市南区長丘5−25−19
歯周病専門医 まんだい千恵歯科
子供の頃からのお口の健康が重要⭐️
2021年4月22日
こんにちは☺️ まんだい千恵歯科 院長の萬代です👩⚕️
福岡市でもコロナ感染者が増えてきて心配です💦感染対策をより一層気を引き締めて行っていきたいと思っています!
当院は歯周病専門医ということで、軽度から重度の歯周病の患者様が多く来院されています。最近はご家族のお子様の患者様も増えてきました☺️
お子様の口腔内を見て、やはり小さい頃からの噛み合わせだったり食事の習慣、歯磨きの習慣が将来のお口の健康を左右するなとつくづくと感じることがあります。歯が生え変わる時期は顎の骨も一緒に成長するので、その成長に応じた歯科治療の介入が出来ればと思い、最近は小児期の矯正にも力を入れています!
ちなみに当院で取り入れている機能的矯正装置はプレオルソといいます🦷
これは起きている間1時間と寝ている間に装着してもらうマウスピースです。
下のような患者さんに適しています⬇️
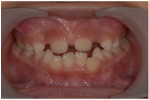
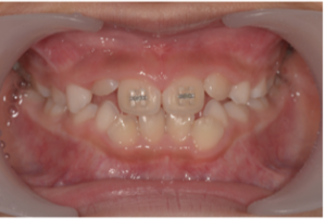
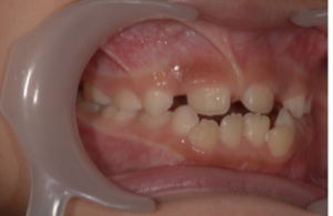
ちなみに受け口な7歳の女の子は現在プレオルソと部分矯正でここまで改善しています☺️
治療前
現在
側方からみた方がよく分かると思いますが
治療前
現在
上の前歯2本がだいぶ前方に誘導されているのが分かると思います。
この子は低位舌といい、舌で下の前歯を押すような位置に舌をいつも置いています。プレオルソとあいうべ体操で舌のポジションも改善中です✨
将来の歯の健康にはやはり歯並びと歯の清掃習慣が重要と考えます👩⚕️この場合の歯並びとは、ただ綺麗に歯が並んでいることが重要ではなくきちんと機能して尚且つきれいであることが重要と思います。
歯に関するお悩み、ぜひ当院にてご相談ください。
またコロナ禍で歯科受診を控えている方も多いと思いますが、お口の健康維持はウイルス感染にも効果的です。ぜひ歯の検診も受けましょうね。
当院では引き続き感染対策を行い診療を行なっております。なお予約の都合上急な来院の方に対応できない場合もございます。
電話かWebでのご予約の上来院頂けますと助かります。
〒815−0075 福岡市南区長丘5−25−19
歯周病専門医 まんだい千恵歯科
092−408−1947
いちごの季節🍓
2021年4月12日
こんにちは、福岡市南区長丘 まんだい千恵歯科 歯科衛生士の木下です。
春真っ只中、皆さん春らしいこと何かしましたか?🌸
先週くらいまでは桜も綺麗だったのですが少しずつ青くなってきました🍃
毎年この時期になるといちご🍓を楽しみにしているのですが、今年は思いの外、食べれていないような気がします😣💦フルーツの中では1番✨と言っていいほど、いちごが大好きです😇❣️
一昨年くらいにいちご狩りに友達と一緒に行ったのですが、また行きたいな〜と思いつつ、今年も行けそうにないですね😂
この時は色んな種類の苺を食べ比べしながら、しかも!食べ放題だったのでたんまり食べた記憶があります(笑)
色々食べてみましたが、あまおうがやっぱり美味しくて、福岡に住んでて良かったな〜ってなります👏✨そのまま食べるのも練乳たっぷりつけるのも好きです❣️
【いちご狩りキップ】という、西鉄電車運賃といちご狩りがセットになった切符がこの時期になると販売されているのですが、2000円しないくらいで販売されていたので、凄くお得でしたよ☀️
是非、来年チェックしてみて下さい😊♪(今年はおそらく販売してなさそうでした…💦)
コンビニスイーツだったりパン屋さんやケーキ屋さんの苺を使ったスイーツもついついあると買ってしまう木下です(笑)
そろそろ食べ納めになりそうなので、今のうちにたくさん楽しんでおこうと思います🌸
まんだい千恵歯科近くの【菓子工房tururin】さんのいちごのタルトも美味しかったです!(その他のケーキも美味しくてオススメです☺️❣️)
皆さんもオススメのいちごスイーツなどあれば是非教えて下さい🍓💕
当院では引き続き、コロナウイルス感染対策に伴い患者様に来院時の検温や手の消毒、うがい薬を使用した漱などのご協力を頂いております。院内感染対策に今まで以上に努めておりますのでご不便をおかけしますが、引き続きご協力よろしくお願いします✨
〒815−0075 福岡市南区長丘5−25−19
歯周病専門医 まんだい千恵歯科
092-408-1947
あいうべ体操😝✨
2021年4月6日
こんにちは!
福岡市南区長丘 まんだい千恵歯科 歯科衛生士の吉瀬です。
最近はだんだんと暖かくなってきましたね☀️
コロナウイルス感染も第4波と言われてまだまだ気が抜けません😢😢🦠
免疫力を低下させない為にも栄養のある食べ物をしっかり食べることも大切ですね!!
私も凝った料理はできませんが、お魚と野菜はなるべく食べるように心がけています!!!!🍚🤣
皆さんも栄養のあるお食事をとってコロナに負けないようにしましょう!💪
では、今回は「あいうべ体操」についてお話します!
あいうべ体操とは?
→ お口回りの筋肉や舌の筋肉を鍛えることによって、
舌を正しい位置に導き、
口呼吸を鼻呼吸に改善していく体操のことです!
では、ここで質問です。
皆さん、普段舌はどこの場所にありますか?
①上あごについている
②上の前歯の裏側についている
③下の前歯の裏側についている
実は、舌の理想的な位置は
①の上あごについている です!
②、③の位置に舌がある方は舌の位置が下がっており、
口呼吸になっている可能性が高いと言われています。
口呼吸をするとお口の中が乾燥します。
このため唾液による消毒・殺菌作用が発揮されず、
むし歯や歯周病が起こりやすくなります😱🦷💦
また、鼻呼吸の場合、外の空気を取り込む際に一緒に入ってきた細菌やウイルスなどを排除する機構が備わっているため、風邪をひきにくかったり、ウイルスに感染しにくいという特徴がありますが、一方で、口には鼻のような外気に対する機能が備わっていないため、
直接細菌やウイルス、塵などを取り込んでしまうことになるのです。
このため、免疫力が低下して風邪をひきやすくなると言われています。🤒🍃
そんな口呼吸を改善するための1つとして、
あいうべ体操が挙げられます!😝✨
次の4つの動作を順にくり返します。
声は出しても出さなくてもかまいません!
(1)「あー」と口を大きく開く
(2)「いー」と口を大きく横に広げる
(3)「うー」と口を強く前に突き出す
(4)「ベー」と舌を突き出して下に伸ばす
(1)~(4)を1セットとし、1日30セットを目安に毎日続けます。
とても簡単なのですが、やってみると意外とお口回りの筋肉が疲れると思います👍🏻⸒⸒
普段あまり動かしていないお顔の運動ですので、
口呼吸改善だけでなく、小顔効果も期待できるかもしれません!!
ぜひやってみてください!🙌🙌
当院では引き続き、コロナウイルス感染対策に伴い患者様に来院時の検温や手の消毒、うがい薬を使用した漱などのご協力を頂いております。院内感染対策に今まで以上に努めておりますのでご不便をおかけしますが、引き続きご協力よろしくお願いします✨
〒815−0075 福岡市南区長丘5−25−19
歯周病専門医 まんだい千恵歯科
おやつによる虫歯で気をつけたいこと
2021年3月10日
こんにちは、福岡市南区長丘 まんだい千恵歯科 歯科衛生士の木下です。
緊急事態宣言がようやく解除されましたね!
まだまだ油断ならない日々ですが、皆さまいかがお過ごしでしょうか?家にいる時間も相変わらず多いかと思われます。コロナウイルスが流行し始めて約1年になりますがまだまだ長期戦になりそうですね💦
最近おうち🏠時間も増えて、お菓子を食べる事も多いかと思います。特に小さなお子様のおやつの与え方には気をつけたいものです♪
「歯磨きをしっかりしているから大丈夫!」と思う方もいらっしゃるかと思いますが、虫歯予防の為には食べ方、食べるものも大事になってきます❗️
口の中では日々、酸性になったり中性に戻ったりを繰り返しています。食事をすると口の中のphが下がることで口腔内は酸性になります。酸性になると歯の表面が溶け出しやすくなるので虫歯に繋がります。
また、口の中の細菌は砂糖の成分をエサにして歯垢を作りだします。歯垢の中には酸が含まれるので、食事の回数が多かったり甘いものを取りすぎると虫歯になってしまいます😵💦
虫歯になりやすいおやつの特徴
・砂糖の使用量が多い(チョコレート、キャラメル、飴、ジュース、スポーツ飲料など)
・歯にくっつきやすいもの、口の中に残りやすいもの(キャラメル、ガム、スナック菓子など
・口の中で味わって食べるもの、飲み込むまでに時間のかかるもの(飴、キャラメルなど)
虫歯になりにくいおやつ
ゼリー、ヨーグルト(できれば無糖)、果物、アイス、ナッツなど口の中に停滞しにくく、なるべく砂糖が含まれないもの。
今は人工甘味料を使ったお菓子などもあります。人工甘味料は甘みを感じられる上に、砂糖は含まれないので虫歯の原因にはなりません。
無糖ヨーグルトに甘味を足したい場合も人工甘味料にて代用するのも良いと思います。(よくダイエットなどで紹介されているものです❣️)
キシリトール100%のチョコレートやタブレットなどもありますので気になる方は検索してみて下さい♪スーパーなどのお菓子コーナーでも見かけることもあります😊
当院でもお問い合わせいただければキシリトール入りのチョコレートの購入することができますので気になる方は、お気軽にお問い合わせ下さい😊(お渡しまでに時間がかかる場合がございます)
更に虫歯を進行させてしまう原因として
・時間を決めずにダラダラと食べる、間食が多い
・歯磨きをしないまま、そのまま寝てしまう。食後の歯磨きをしない
などがあります。
おやつは1日1回!
決まった時間に取る事をオススメします。
また、運動をしている学生さんなどに多いのがスポーツ飲料による虫歯です。スポーツ飲料には砂糖が多く含まれていますのでできればお茶やお水などに変える事をオススメします。
夏場など、どうしても飲む機会が増える時は飲んだ後にお茶やお水を飲むか、口をしっかりとゆすいで口の中に糖分を停滞させない事も大事です🙆♀️✨
なるべく口の中に残りにくく、砂糖の量が少ないものを食べる。もしくは人工甘味料使用のおやつを選んでみるのもいいと思います♪
定期検診も忘れずに♪定期検診は自分ではわからない虫歯などの早期発見にも繋がりますので、1年に2-3回の来院をオススメします⭐️
春休みが始まりますので、ぜ休み期間に定期検診での来院、しばらく歯医者に行けてない方も虫歯や歯周病のチェック等、お気軽にご相談くださいね😊
当院では引き続き、コロナウイルス感染対策に伴い患者様に来院時の検温や手の消毒、うがい薬を使用した漱などのご協力を頂いております。院内感染対策に今まで以上に努めておりますのでご不便をおかけしますが、引き続きご協力よろしくお願いします✨
〒815−0075 福岡市南区長丘5−25−19
歯周病専門医 まんだい千恵歯科
092-408-1947
はじめまして
2021年3月4日
タバコと歯周病について🚬
2021年3月2日
こんばんは! 福岡市南区 長丘 まんだい千恵歯科 歯科衛生士の吉瀬です。
最近は寒くなったり暑くなったり難しいですね💦
今日は寒かったですね😰
歩いてると寒さに我慢できず、思わず職場から家まで本気で走って帰りました🤣
寒暖差がすごいので風邪ひかないように気をつけましょう🌿
自粛期間の中みなさんはなにをしていましたか??
私は先週の日曜日、朝の6時に目覚めて急にクッキーが作りたい衝動に駆られ、1人で作り始めました🤣🍪
最後らへんは少し飽きてしまってましたが、美味しく出来上がって良い休日のスタートでした🌱
そして大根がずっと冷蔵庫にあったので夜ご飯も作りました🤣
ダイエットしたいのに自分で沢山作ってしまって痩せる道がなかなか見えません🙄🍂
食べる分、運動頑張りたいと思います🏃🏃
では、今日はタバコと歯周病についてお話したいと思います!
~歯周病とタバコについて🚬~
ヘビー・スモーカ–の方が肺がんになりやすいなど、ニコチンの影響で肌が荒れたりなど、 たばこが健康によくないことは、よく知られていると思います!
ですが、たばこが歯や歯肉にも悪影響を及ぼすことを知っている方は少ないようです。😱
平均的な喫煙者は、たばこを吸わない人に比べて三倍も歯周病にかかりやすく、また、二倍も多く歯が抜けているという報告があるそうです。
ニコチンにより血管の収縮が起こり、血液の流れが悪くなります。このため、歯肉に栄養が十分行かなくなり、色が悪くなるだけでなく、ごつごつした硬い歯肉になってしまいます。
そして細菌と闘う白血球の機能も喫煙により半分に低下します。
これでは歯肉もたまりません😰💦
歯周病の治りも悪くなり、再発もしやすくなってしまいます😭💧
また、特に怖いのは、口の中にできるがん 「口腔がん」。毎日たばこを吸っている人は、吸わない人に比べて二倍以上も口腔がんにかかりやすくなるそうです。。
これまでに喫煙した総本数が少なければ少ないほど、発生の危険が減るのでたばこを辞められないかたは、禁煙は、是非お早めに。😣💦
最近、患者さんの中で「禁煙してるんです!」とおっしゃる方が増えて、すごく頑張ってる姿見ると、私ももっと頑張ろう!!とさらに思えてとても嬉しいです!!
お口の中も身体も健康でいられるように頑張りましょう!!🌈
当院では引き続き、コロナウイルス感染対策に伴い患者様に来院時の検温や手の消毒、うがい薬を使用した漱などのご協力を頂いております。院内感染対策に今まで以上に努めておりますのでご不便をおかけしますが、引き続きご協力よろしくお願いします✨
〒815−0075 福岡市南区長丘5−25−19
歯周病専門医 まんだい千恵歯科
こんにちは!☀️
2021年2月3日
こんにちは、福岡市南区 長丘 まんだい千恵歯科 歯科衛生士の吉瀬です。
緊急事態宣言が延長され、気の抜けない日々が続いていますね😰
また寒くなったりしてるので風邪にもみなさんきをつけてください!
今回の1枚は愛犬のバニラです🐶
登場し過ぎてすみません(笑)🤣
よく聞かれるのですが、犬種は日本スピッツという犬種です🤞🤍
これからもよく登場すると思うのでよろしくお願いします!🤣❤️
今日は訪問歯科のご案内についてお話したいと思います!
~訪問歯科とは??~
走る歯医者さん
従来は医療機関で患者さんを診ていた歯科医や歯科衛生士が町に飛び出し、通院困難な高齢の方などの自宅を訪問しています。最近はこうした訪問歯科診療を積極的に行う歯科医が増えてきました。いわば「走る歯医者さん」。高齢の方にとって強い味方と期待されています。
歯科医院に行けない状態の人こそ歯の治療が必要です。
要介護の高齢の方では、歯を診てもらいたくても体が不自由で通院できない人がたくさんいます。しかし、体に障害があったり、病気を持っている人ほど口腔ケアを行いにくく、治療が必要な状態になりやすいのです。
訪問歯科診療を受けて長年のお口の悩みを解消できた人も少なくありません。
入れ歯作りから口腔ケアまで
通院困難な方に多い訴えは、「食べられなくて困っている」というのものです。食べられなくなった原因は、入れ歯を壊してしまったり、歯が抜けてしまった、あるいは入れ歯が痛いなどさまざまです。訪問歯科診療では、通院困難な方の訴えをくみとって、むし歯や歯周病などの治療や入れ歯の作製・修理、口腔ケアなど に対応しています。また、誤嚥性肺炎の予防や食べる楽しみの回復など、口腔機能のリハビリテーションも行います。治療の方法は利用者の体力に合わせて無理 のないように進めていきます。
自宅で治療を受けることのメリット
歯科医が自宅にきてくれるというメリットは、患者さまが通院しなくてもいいということだけにとどまりません。たとえば入れ歯を作った場合、歯科医が直接利用者の食生活の場面などを見ることで、よりきめ細かく調整できます。また、口腔ケアの方法を指導する場合は、通院困難な方の身体の状態はもちろん、介護者がどれだけかかわれるかが大切なポイントになります。訪問歯科診療ならば、通院困難な方の生活や介護の状況も理解しやすいので、より適切な口腔ケアを提案することが可能になります!
訪問させて頂く際には、マスク、ゴーグル、フェイスシールドを装着し、体温測定、アルコール消毒を持参し、行わせて頂きます。
訪問させて頂いたお宅には、換気をして頂くようお願いしております。
今の時期はコロナウイルス感染の時期ですので基礎疾患がある方、ご高齢の方など、来院に不安がある方などでも、ご気軽にご相談下さい!
当院では引き続き、コロナウイルス感染対策に伴い患者様に来院時の検温や手の消毒、うがい薬を使用した漱などのご協力を頂いております。院内感染対策に今まで以上に努めておりますのでご不便をおかけしますが、引き続きご協力よろしくお願いします✨
〒815−0075 福岡市南区長丘5−25−19
歯周病専門医 まんだい千恵歯科
ポケモンとコラボ検診実施チュウ…⚡️⚡️
2021年1月21日
こんにちは、福岡市南区長丘 まんだい千恵歯科 歯科衛生士の木下です。
只今、福岡市×福岡市歯科医師会×ポケモンとのコラボレーション企画として
⚡️ポケモンスマイルで歯磨き大作戦⚡️
を実施中です😊‼️
対象は現在小学校1年生のお子様です👩👦👨👦
当院は【ポケモンスマイルではみがき大作戦実施医療機関】です👏
生え変わりが始まる年齢の今から 自分で歯磨きの習慣をつけること と 歯科医院での定期的なプロフェッショナルケア がより大事になってきます!
歯磨きを面倒だと思ったり、仕上げ磨きが大変な時期だとは思いますが楽しみながら是非参加してみて下さい♪
参加して頂いたお子様は無料で歯科検診が受けることができます!更にポケモンスペシャルステッカーをプレゼント✨
【参加方法】
①小学校にて1年生のお子様にはポケモンの【歯みがきできたねシール】と【シール台紙】を配布していますので保護者の皆様は歯磨きが上手にできたときはシールを1枚貼って下さい🦷
②ゴール(30日分)シールを貼ったら、当院へお越し下さい。無料歯科検診が受けられます!&ポケモンスペシャルステッカープレゼント🎁どんなものかはお楽しみに✨

※ご予約が入っている場合がございますのでご予約頂けますと幸いです。ご予約の際は「ポケモン歯科検診」とお伝えください。
また小学1年生以外の方もポケモンと歯科医師会がコラボした無料アプリがでています!
🌸ポケモンスマイル🌸
(iPhoneのみ App Storeより「ポケモンスマイル」で検索して下さい♪)
アプリでゲームをしながら歯磨きの練習と習慣化するゲームです✨歯磨きを上手にするとむしばきんに隠れたポケモンを捕まえることができポケモンずかんを完成させたり、ポケモンキャップを集める事が出来るのでやる気もUPします⤴️⤴️
わたしもやってみたのですが、これがなかなか面白くて可愛いです❣️4歳の甥っ子にも早速、オススメしてみました!(笑)
日々のお子様の歯磨き練習に是非、活用してみて下さいね♪
当院では引き続き、コロナウイルス感染対策に伴い患者様に来院時の検温や手の消毒、うがい薬を使用した漱などのご協力を頂いております。院内感染対策に今まで以上に努めておりますのでご不便をおかけしますが、引き続きご協力よろしくお願いします✨
〒815−0075 福岡市南区長丘5−25−19
歯周病専門医 まんだい千恵歯科
092-408-1947





















