CATEGORY : 未分類

[先日のおやすみに…!]

こんにちは、福岡市南区長丘 まんだい千恵歯科 歯科衛生士 木下です。     朝晩は少し冷えますが少しずつ暖かくなってきましたね。皆さん体調はいかがでしょうか??   先日私事ですが、おやす […]

CATEGORY : 治療症例

[もう2月ですね!!]

こんにちは、福岡市南区長丘 まんだい千恵歯科 院長の萬代です! 年が明けたと思っていたら、もう2月。早いものです(^_^;)   先日2月1日で当院は開業3周年を迎えました!!無事に迎えることが出来たのもスタッ […]

CATEGORY : 未分類

[OK、Google♪]

こんにちは。福岡市 南区長丘 まんだい千恵歯科 受付上村です。 久しぶりのブログ投稿になりますが、皆様お正月はどう過ごされましたか?   最近のうちの2歳7カ月になる息子ですが、だいぶおしゃべりも上手になってき […]

CATEGORY : ブログ

[]

こんにちは! 福岡市南区長丘 まんだい千恵歯科 歯科衛生士の木下です。 ブログ更新、なかなか慣れずまだまだ2回目です(笑) さぼり気味にならないよう私もしっかり更新していきますね(;^ω^)   食欲の秋、読書 […]

CATEGORY : まんだい千恵歯科のイロイロ

[日本歯周病学会 専門医合格しました!!]

こんにちは、福岡市南区長丘 まんだい千恵歯科 院長の萬代です。 先日北九州の小倉で日本歯周病学会が開催され、専門医試験の合格発表がありました。   専門医の試験では第一次審査が中等度以上の歯周病の治療症例を10 […]

CATEGORY : 未分類

[子供の歯磨き partⅡ]

こんにちは。福岡市南区 長丘 まんだい千恵歯科 受付上村です。   みなさん、お子様の歯磨きどうされていますか? 小さいお子さんをお持ちのお母様、お父様はお子さんの歯磨きに結構苦労している方も多いのではないでし […]

CATEGORY : まんだい千恵歯科のイロイロ

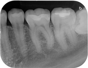
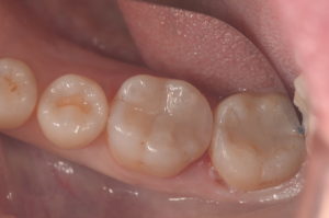
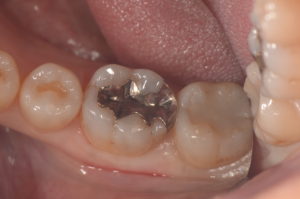
[ メタルフリー💖]

こんにちは、福岡市南区長丘 まんだい千恵歯科 院長の萬代です。 9月も中旬ですが、まだ暑い日が続きますね!   私事ではありますが、先日歯周病学会の専門医の試験を受けに東京に行ってまいりました。 芸能人、会える […]

CATEGORY : 未分類

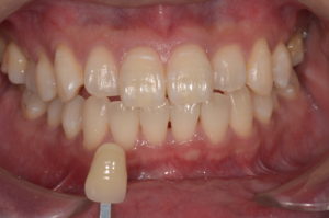
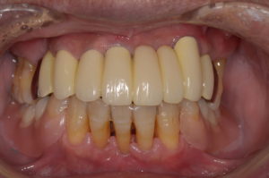
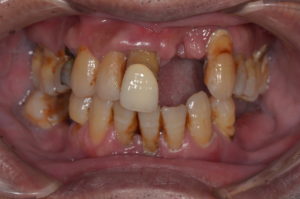
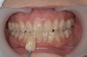
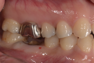
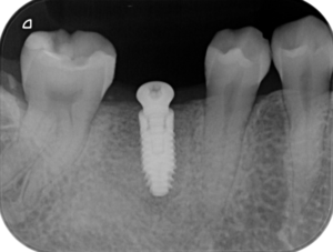
[インプラント治療について]

こんにちは、福岡市南区長丘 まんだい千恵歯科 院長の萬代です。 先日インプラント治療行ったケースをご紹介致します!!     インプラントって巷では、とても怖い治療、後遺症が残る治療、などとバッシング […]

CATEGORY : まんだい千恵歯科のイロイロ

[WDC10周年!!そして開業までの道のり。]

こんにちは、福岡市南区長丘 まんだい千恵歯科 院長の萬代です。 インスタにも載せてますが先日私の所属するWDC(Woman  Dentist Club)の10周年記念講演会がありました。 400人を超える多数の歯科関係者 […]

CATEGORY : 未分類

[ホワイトニングのススメ✨✨]

こんにちは、福岡市南区長丘 まんだい千恵歯科 院長の萬代です! だいぶ陽が長くなってきましたね、お天気の日が続いて嬉しい毎日です😆     最近ホワイトニングのお問い合わせが増えてきています。 当院で […]

電話を
かける
WEB
診療予約
診療
時間表

tel. 092-408-1947

診療時間
9:00~13:00
14:00~18:00
♦:水曜は9:00~14:00
★:土曜は毎月第2週のみ、8:30~14:00
休診日:土曜・日曜・祝日
診療日は変更になる場合がございます。
詳しくはカレンダーをご確認ください。