CATEGORY : 未分類

[美味しく♪口腔ケア✨]

こんにちは、福岡市南区長丘 まんだい千恵歯科 歯科衛生士の木下です。 連日暑い日々が続きますね💦 皆さんいかがお過ごしでしょうか?? 突然ですが皆さん、ご自分の舌をベーっと出して見たことはありますか😃??白っぽかったり茶 […]

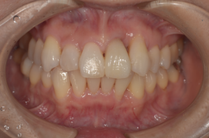
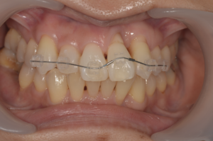
CATEGORY : 治療症例

[歯茎が痩せる!?]

こんにちは、福岡市南区長丘 まんだい千恵歯科 院長の萬代です!   今日は『歯肉退縮(しにくたいしゅく)』について👩‍⚕️     年齢を重ねると歯ぐきが下がったり痩せたりすることがあります […]

CATEGORY : 未分類

[雨の影響大丈夫でしたか?😭]

こんちには、福岡市南区 まんだい千恵歯科 歯科衛生士の吉瀬です。 大雨が続いて被害に遭っているところも多く出ていますね😔 天気が悪い日がまだあるようなので気をつけましょう☔️   では今回はフッ素についてお話し […]

CATEGORY : 未分類

[おうち時間 🏠]

こんにちは、福岡市南区長丘 まんだい千恵歯科 歯科衛生士の吉瀬です。 つい最近、緊急事態宣言が解除されましたが 少しずつ感染が増えてるところもあり、まだまだ油断はできない日々が続きますね😅 私の休みの日の過ごし方は、友達 […]

CATEGORY : 未分類

[もうすぐ梅雨の季節ですね♪]

こんにちは、福岡市南区長丘 まんだい千恵歯科 歯科衛生士の木下です。   朝はまだ少し寒いですが、お昼はかなり暑い毎日です🏃‍♀️💨もうすぐ梅雨の季節でもありますね☔️   梅雨といえば…紫陽花なんで […]

CATEGORY : まんだい千恵歯科のイロイロ

[お家で出来る口腔ケア🦷]

こんにちは、福岡市南区長丘 まんだい千恵歯科 院長の萬代です!   福岡でも緊急事態宣言が解除されました。『ステイ ホーム』で自粛していた成果が現れていると思うと嬉しいですが、コロナウイルスとの戦いはまだまだ続 […]

CATEGORY : 未分類

[緊急事態宣言 子供との過ごし方]

こんにちは。福岡市南区長丘 まんだい千恵歯科 受付上村です。   福岡県でもコロナ感染症の影響で緊急事態宣言が出されました。     私はと言うと………   4月後半からG.Wまで […]

CATEGORY : 治療症例

[新型コロナウイルスの感染症対策を徹底!!!]

こんにちは、福岡市南区 まんだい千恵歯科 衛生士の吉瀬です。 コロナウイルスで自粛の中、お仕事以外の楽しみは料理と犬と庭で走ることです!🐶🐾 今週はシチュー、生姜焼き、とんかつ、餃子、青椒肉絲を作りました!🍳 外に出たい […]

CATEGORY : 未分類

[ライン登録!!]

こんにちは、福岡市南区長丘 まんだい千恵歯科 院長の萬代です。 新型コロナウイルスの影響で当院も縮小診療行っております。やはりスタッフへの感染も心配なので、定期検診や急を要しない 患者様は予約を延期して頂いております。皆 […]

CATEGORY : 未分類

[はじめまして]

はじめまして 歯科衛生士として勤めることになりました。🦷✨ 吉瀬夏樹(きちせ なつき)と申します。 好きなことはドライブ、旅行、運動です!🚗🏃⚾️ 運転が大好きで関東まで運転して行ったりしました🚗💨 未熟ではありますが出 […]

電話を
かける
WEB
診療予約
診療
時間表

tel. 092-408-1947

診療時間
9:00~13:00
14:00~18:00
♦:水曜は9:00~14:00
★:土曜は毎月第2週のみ、8:30~14:00
休診日:土曜・日曜・祝日
診療日は変更になる場合がございます。
詳しくはカレンダーをご確認ください。