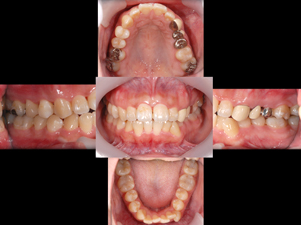
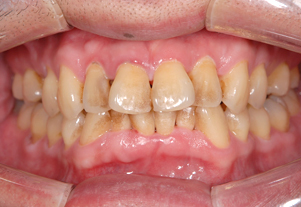
症例紹介
症例紹介
ジルコニアクラウン
金属と同じ強度を持ち、生体親和性の高い
安全かつ美しさを兼ね備えた素材です。
人工ダイアモンドと呼ばれるジルコニアは、金属を使用していないため金属アレルギーをお持ちの方でも安心してご使用いただけます。従来の金属に比べ約1/3の軽さで自然な噛み心地を体感していただけます。
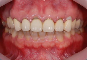
Before
After
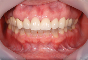
Before
After
ダイレクトボンディング
なるべく歯を削りたくない、
前歯の隙間が気になる方に特におすすめの素材です。
白いペースト上の素材を、直接お口の中で盛り付けていく治療です。通常の歯科治療に比べ、歯を削る量を減らせるだけでなく、型取りをする必要もないので1日で治療が完了することも魅力の1つです。
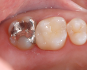
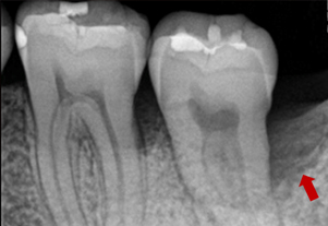
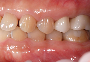
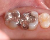
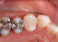
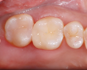
奥歯の詰め物
Before

After
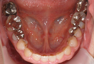
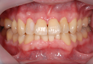
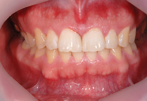
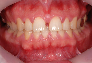
すきっ歯の改善
Before
After
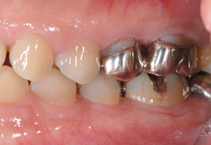
セラミックインレー
昔詰めた銀歯のお色が気になる方や金属アレルギーが心配な方へ
透明で美しく変色しにくい素材をおすすめします。見た目が天然歯に近い素材なので、区別がつきにくく年数がたっても変色しにくいことが特徴です。
Before


After
セラミッククラウン
昔詰めた銀歯のお色が気になる方や金属アレルギーが心配な方へ
透明で美しく変色しにくい素材をおすすめします。見た目が天然歯に近い素材なので、区別がつきにくく年数がたっても変色しにくいことが特徴です。


歯周病治療
しっかりと治療を行い、
健全な歯肉を取り戻しましょう。
歯周病は進行すればするほど治療が難しく費用もかかってしまいます。もちろん歯周病にならないように日々のケアをすることはとても大切ですが、万が一歯周病が進行してしまった際も、できる限り早めの処置で歯を抜かなくて済む場合もございます。
まずは当院にご相談ください。
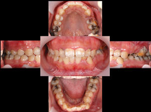
症例1
Before
After
- POINT
- 20代前半の患者様です。年齢が若くても歯周病、歯肉炎は発症してしまいます。ホームケアの指導と治療の説明をしっかり行い、専門家によって丁寧に歯石を除去することで、健康な歯茎を取り戻しました。前歯の厚い歯茎は歯茎の形態を整える手術をしています。すべて保険治療です。
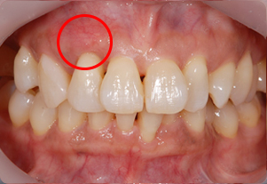
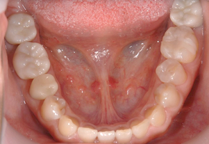
症例2(歯肉移植)
Before
After
- POINT
- 右上2番(赤丸の箇所)の歯茎が下がってしまった患者様です。
歯茎が薄く歯もしみてしまい歯磨きしにくいため、上あごから歯肉を移植しました。
厚みのある歯茎になり、しみる症状も改善されました。
症例3(再生療法)
Before
After
Before
After
- POINT
- 他院で歯周病の治療をしていましたが、なかなか歯周病が改善されず、セカンドオピニオンにて来院された患者様です。歯周病の進行した部分に再生療法を行い(エムドゲインを使った歯茎の手術)ホームケアを徹底することで改善されました。
今後も継続したメインテナンスが必要です。
PMTC
セルフケアでは落としきれない汚れは、
PMTCで徹底的にクリーニングを行いましょう。
PMTCとは、プロフェッショナル・メカニカル・トゥース・クリーニングの頭文字を取った名称で、歯のプロフェッショナルである歯科医院で専門器具を用いて歯の清掃を行うことです。
PMTCを行い、ツルツルで気持ちの良い歯で過ごしましょう。
Before
After
各治療の料金について
歯を白く美しくする治療
| ラミネートベニア | 80000円~ |
|---|---|
| オールセラミック冠 | 110000~130000円 |
| ジルコニア冠 | 85000円~ |
| メタルボンド冠 | 110000円 |
| ゴールド冠 | 小臼歯:110000円 大臼歯:120000円 |
| ゴールドアンレー | 80000円~ |
| ゴールドインレー | 小臼歯:40000円 大臼歯:50000円 |
| ダイレクトボンディング | 10000~40000円(虫歯の範囲によって異なります) |
歯周治療
| 再生療法 (エムドゲインゲル1本につき) |
60000円~ |
|---|---|
| 歯肉移植(1歯につき) | 30000円 |
インプラント
| インプラント埋入 | 200000円~ |
|---|
ホワイトニング
| オフィスホワイトニング | 32000円(3回コース) |
|---|
PMTC
| PMTC | 6000円 |
|---|

