こんにちは、福岡市南区長丘 まんだい千恵歯科 院長の萬代です!
寒い日が続いてますね。春はもう少し、、、寒さに負けず頑張りましょう😆
今日は噛み合わせのことについて。
みなさん、反対咬合ってご存知ですか?
反対の噛みあわせ、つまり受け口のことです。
大人の歯への生え変わりの段階で前歯が噛み合わせが逆になっていると、歯の検診の時にチェックされると思います。
3歳児検診で反対咬合が指摘されるお子さんもいると思います。
乳歯の時に反対咬合になっていると、永久歯に生え替わった時に反対咬合になる可能性は高いです。
前歯は早ければ5歳くらいから生え変わり出すので、しっかり噛み合わせを見ていく事が大切です。
歯並び矯正はいつの時期からでも基本的には可能ですが、前歯の反対咬合は早期に治療できる事もあるのでぜひ相談してみてください!
患者さんは6歳の女の子です。
上の前歯が生え変わる前、やや反対咬合でした。

上の前歯が生え変わってくると、反対咬合が強く出てきました。

このままだと前歯に下顎が誘導されて反対咬合のまま生え変わっていく事になります。
前歯の噛み合わせだけでも早期に改善したいです。
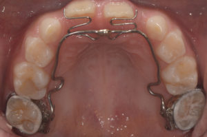
上の歯にリンガルアーチという装着を入れて経過を見ました。
装置を装着したところ。

やはり違和感があると思いますが、歯磨きも頑張ってしてしてくれて、装置にも慣れてくれました!!
そして現在の状態です⬇︎

前歯の噛み合わせはしっかりとひっくり返りました!!
ここから経過観察していきます。
反対咬合になる理由は色々ありますが、爪を噛んだり、唇を噛んだりする癖でも誘発される事があります。もちろん、遺伝性の事もあります。
気になる事があれば、なんでもご相談ください!
〒815−0075 福岡市南区長丘5−25−19
歯周病認定医 まんだい千恵歯科
092ー408ー1947
